Эпилепсия французский бульдог Марик
-
Kate83
- Сообщения: 37
- Зарегистрирован: 17 июн 2023, 23:52
- Благодарил (а): 17 раз
- Поблагодарили: 28 раз
Эпилепсия французский бульдог Марик
Здравствуйте уважаемые форумчане, вот и мы в ваших рядах. Французский бульдог, 21 июня будет 8 лет, в феврале этого года упал в обморок на улице, значение не придали, отнесли домой, к врачу не обращались. А в мае началось(( первый приступ с судорогами, невролог, назначен Габапентин 0,3 по 1 капс 1 раз в день, судороги повторились, подключили Кеппру 250 по 2таб в день, месяц без приступов, а в пятницу 16 июня началась серия приступов, в итоге эпистатус, доставили Марика примерно через 30 минут от начала приступов в клинику, там в наркоз, вышел врач, сказал зрачки на свет не реагируют, в легких жидкость, сам не дышит, температура тела 40С, мозг скорее всего уже умер, предложил эйтаназию или если хотим ждём до вечера, но шансов почти нет! Конечно оставили до вечера, дома истерика, места не находим, собаку почти похоронили((, виним во всем себя! Звоню им узнать как дела. Марик пришел в себя после наркоза, приступы повторились еще два раза, напичкали препаратами, частичная потеря зрения, неврологические отклонения, сказали приезжать за собакой, слава Богу за живой!!! Чем его накачали не знаю, ночь была ужасной, он ходил как заведенный, левая сторона частично парализована, натыкается на все предметы, бьется головой обо все, как будто плохо видит. Не мог пописать до сегодняшнего дня, стула тоже нет((. В выписке из рекомендаций только МРТ и продолжать давать Кеппру!!!! А еще утром они его усыпить предлагали!!! Почитала форум, разревелась, понимаю что мы только в начале очень долгого и трудного пути((, лечения нет, есть только способы облегчить состояние((, со вчерашнего дня живу со страхом и в ожидании следующего приступа((
- Найда
- Сообщения: 4123
- Зарегистрирован: 16 авг 2016, 12:15
- Откуда: г.Балашиха,М.О.Зинаида
- Благодарил (а): 20183 раза
- Поблагодарили: 9438 раз
Эпилепсия французский бульдог Марик
Kate83, Добрый день ! Как Вас зовут ,из какого вы города? Сколько весит собачка???Не отчаивайтесь,у нас начались приступы 9 и 16 только к обеду закончились.Кеппра одна не работает, нужно подключать паглюферал,бензонал если достанете.Паглюферал проще купить,Вам надо 4,4 мг на кг веса делите на два раза утром и вечером.В восемь лет истинная эпилепсия не может быть.Сделайте биохимию,УЗИ,проверьте на липазу поджелудочной железы,сдайте на гормоны щитовидной железы.Почитайте нашу тему,зайдите на форуме в наши истории ,там найдете путеводитель по форуму и найдете много интересного.
принимаем :Бензонал по 1 таблетке 2раза в день,дозировкой 100мг,либромид по 1 т. два раза в день,леветирацетам по 500мг три раза в день, винпоцетин по 1т.-2р ,энап 5мг-1 таб.-2раза , по 1 таблетке на ночь пустырник.
Вес41-42 кг
Вес41-42 кг
-
Kate83
- Сообщения: 37
- Зарегистрирован: 17 июн 2023, 23:52
- Благодарил (а): 17 раз
- Поблагодарили: 28 раз
Эпилепсия французский бульдог Марик
Здравствуйте, Найда, спасибо вам за ответ! Меня зовут Екатерина, мы из Москвы, Марик весит примерно 12,5 кг, анализы крови мы сдали, даже на желчные кислоты, там все хорошо! После эпистатуса даю Кеппру 250 по 1т 3 раза в день и даю и Гапатентин 300 делю капсулу на две части утром и вечером. Знаю что многие здесь не делали мрт, но мы в понедельник, завтра все же идем, тк говорила с нашей заводчицей, у нее был кобель тоже 8 лет с приступами, в итоге опухоль мозга(. Надеюсь осложнений после наркоза не будет
. На счет Паглюферала я тоже читала, но не знаю нужно ли его сейчас подключать или ждать следующего приступа, или уж сразу поить собаку всеми препаратами чтобы наверняка! Я еще прочитала что в случае именно с эпилепсией хорошо помогает кетодиента, кетоацидоз влияет на мозговую активность, заказала мешок лечебного сухого корма Проплан для поддержания функции мозга, только вот не знаю как переводить собаку на одну сушку, он у меня гурман)) с рук привык сырники есть и хлебушек))
-
Kate83
- Сообщения: 37
- Зарегистрирован: 17 июн 2023, 23:52
- Благодарил (а): 17 раз
- Поблагодарили: 28 раз
Эпилепсия французский бульдог Марик
Найда, Здравствуйте, Найда, спасибо вам за ответ! Меня зовут Екатерина, мы из Москвы, Марик весит примерно 12,5 кг, анализы крови мы сдали, даже на желчные кислоты, там все хорошо! После эпистатуса даю Кеппру 250 по 1т 3 раза в день и даю и Гапатентин 300 делю капсулу на две части утром и вечером. Знаю что многие здесь не делали мрт, но мы в понедельник, завтра все же идем, тк говорила с нашей заводчицей, у нее был кобель тоже 8 лет с приступами, в итоге опухоль мозга(. Надеюсь осложнений после наркоза не будет
. На счет Паглюферала я тоже читала, но не знаю нужно ли его сейчас подключать или ждать следующего приступа, или уж сразу поить собаку всеми препаратами чтобы наверняка! Я еще прочитала что в случае именно с эпилепсией хорошо помогает кетодиента, кетоацидоз влияет на мозговую активность, заказала мешок лечебного сухого корма Проплан для поддержания функции мозга, только вот не знаю как переводить собаку на одну сушку, он у меня гурман)) с рук привык сырники есть и хлебушек))
-
Kate83
- Сообщения: 37
- Зарегистрирован: 17 июн 2023, 23:52
- Благодарил (а): 17 раз
- Поблагодарили: 28 раз
Эпилепсия французский бульдог Марик
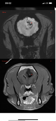
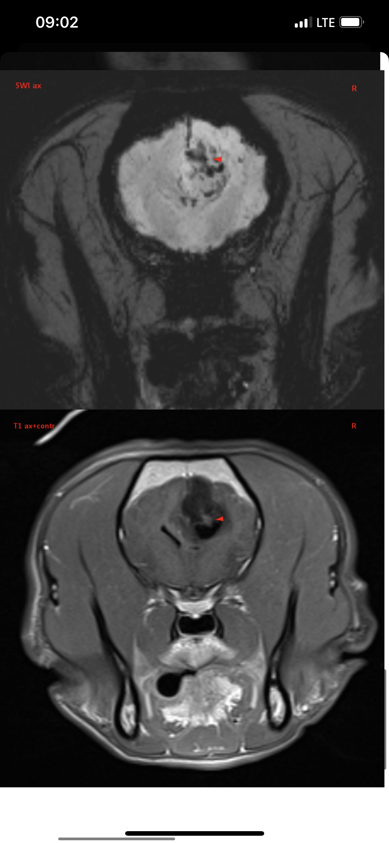
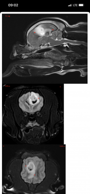
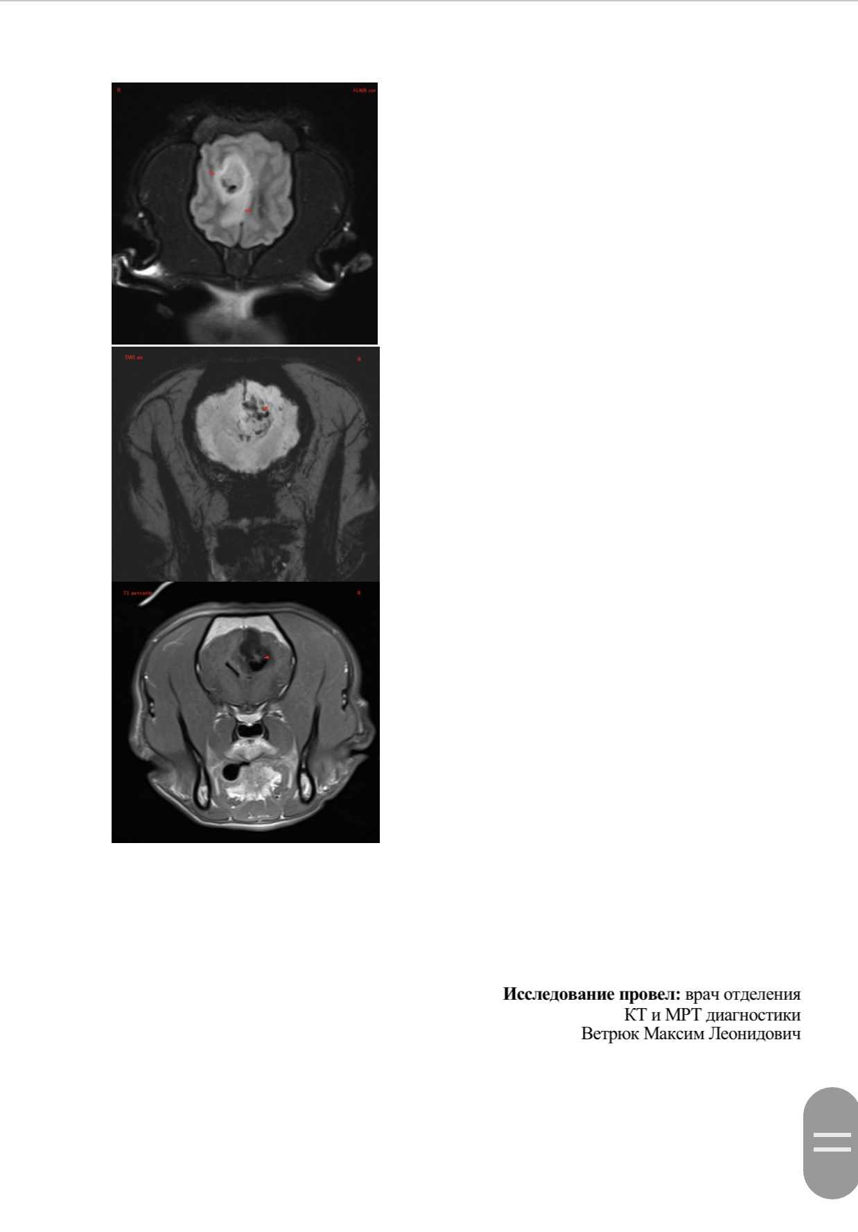
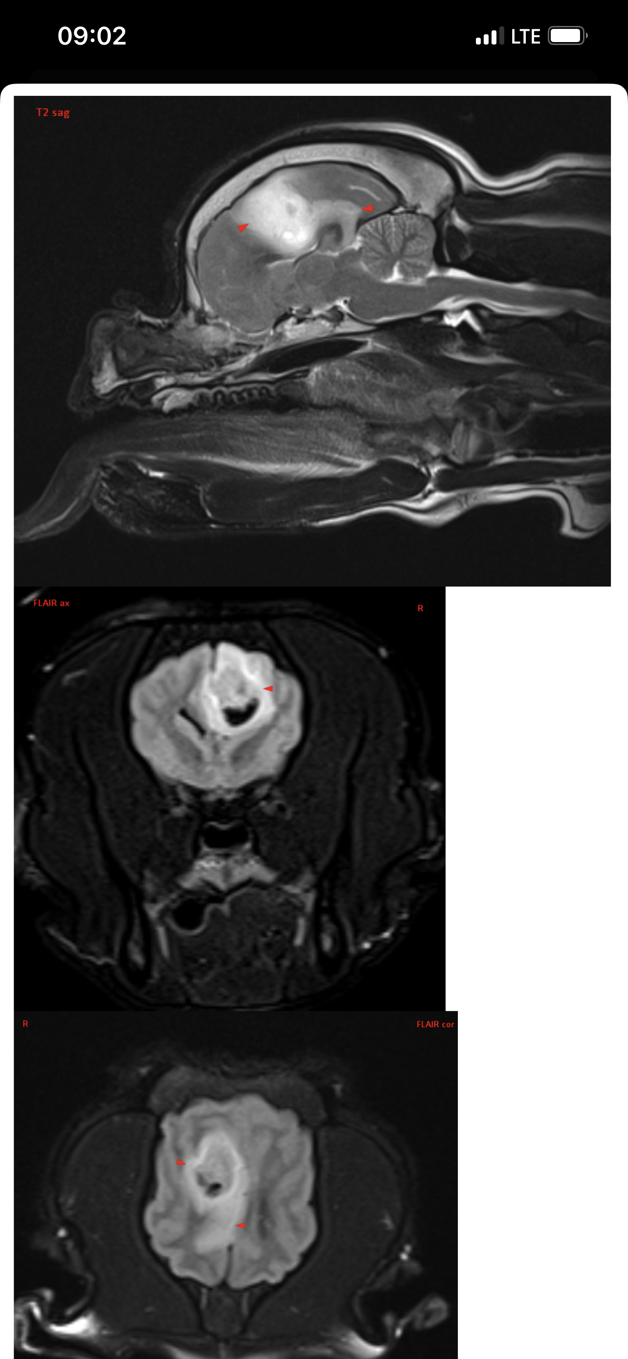
Вчера делали Марику МРТ в клинике Skolkovo Vet, если кому-то интересно, стоит чуть больше 12000₽. Результат неутешительный. Заключение:
МР-признаки новообразования в области лобной и теменной долей коры больших полушарий головного мозга справа, с очагами кровоизлияния и перифокальным отеком.
МР-признаки постсудорожных изменений.
Опухоль у моего мальчика(( она и вызывает судороги. Написала сегодня в вотс ап Хохлову, не знаю ответит ли, готова ехать к нему в клинику если он вообще принимает пациентов. К Дубовицкой попасть нереально, там очередь минимум на 1,5 месяца, есть онлайн консультация, стоит как и очный прием 7000₽, но ее рекомендуют скорее как второе мнение после очного осмотра у невролога. Рекомендовали еще Субботина из Белого Клыка, но увы, он по известным всем причинам с 2022 работает в вет клинике в Грузии. Продолжаю давать Кеппру и Габапентин
МР-признаки новообразования в области лобной и теменной долей коры больших полушарий головного мозга справа, с очагами кровоизлияния и перифокальным отеком.
МР-признаки постсудорожных изменений.
Опухоль у моего мальчика(( она и вызывает судороги. Написала сегодня в вотс ап Хохлову, не знаю ответит ли, готова ехать к нему в клинику если он вообще принимает пациентов. К Дубовицкой попасть нереально, там очередь минимум на 1,5 месяца, есть онлайн консультация, стоит как и очный прием 7000₽, но ее рекомендуют скорее как второе мнение после очного осмотра у невролога. Рекомендовали еще Субботина из Белого Клыка, но увы, он по известным всем причинам с 2022 работает в вет клинике в Грузии. Продолжаю давать Кеппру и Габапентин
Эпилепсия французский бульдог Марик
На другом сайте Эпидог я видела, что Субботин принимает онлайн.
В теме кане Корсо хан если я не ошибаюсь
В теме кане Корсо хан если я не ошибаюсь
-
Kate83
- Сообщения: 37
- Зарегистрирован: 17 июн 2023, 23:52
- Благодарил (а): 17 раз
- Поблагодарили: 28 раз
Эпилепсия французский бульдог Марик
uliya-k84, я написала на сайте клиники, что хочу получить онлайн консультацию, оставила контакты, но так никто и не связался((, в субботу едем к Хохлову
-
Kate83
- Сообщения: 37
- Зарегистрирован: 17 июн 2023, 23:52
- Благодарил (а): 17 раз
- Поблагодарили: 28 раз
Эпилепсия французский бульдог Марик
Прошла неделя после эпистатуса, Марик более менее пришел в себя, начал поднимать лапу чтобы пописать, может иногда сам подняться по лестнице, но чаще все еле просит его поднять, запрыгивает на диван, аппетита у него особо нет, часто просто лежит, продолжаю давать Кеппру250 по 3т в день и Габапентин по 1 капсуле. Завтра на прием к Хохлову на проспект Мира
-
Kate83
- Сообщения: 37
- Зарегистрирован: 17 июн 2023, 23:52
- Благодарил (а): 17 раз
- Поблагодарили: 28 раз
Эпилепсия французский бульдог Марик
Итак, в прошлую субботу, когда въезд в Москву перегородили танки, над городом кружили вертолеты и не работала навигация, мы с Мариком были на приеме у уважаемого Алексея Валерьевича Хохлова. Он изучил снимки головного мозга, опухоль Марика он назвал скорее кистой и предположил, что живет он с ней уже давно, естественно ни о каком оперативном вмешательстве речи не идет. Спустя неделю после эпистатуса Марик почти полностью восстановился, но по лестнице сам еще не поднимается, Хохлов его состоянием доволен и никаких тревожных симптомов не обнаружил. Он прописал: Паглюферал1 - по 1/4 2 раза в день, Габапентин 300 по 1/2 2 раза в день, Кавинтон 5мг по 1/4 2 раза в день. Кеппру не прописал! Так же выдал рекомендации и список лекарств если будут приступы, что и как колоть, но эти схемы тут всем давно известны. Неделю мы принимаем все вышеизложенные препараты, пока все нормально, живем дальше с Божьей помощью!
-
Kate83
- Сообщения: 37
- Зарегистрирован: 17 июн 2023, 23:52
- Благодарил (а): 17 раз
- Поблагодарили: 28 раз
Эпилепсия французский бульдог Марик
Меня целый день мучает вопрос - кто нибудь делал собаке операцию на головной мозг?
-
SvetlanaAmira
- Сообщения: 3
- Зарегистрирован: 17 июн 2023, 15:47
- Поблагодарили: 1 раз
- Найда
- Сообщения: 4123
- Зарегистрирован: 16 авг 2016, 12:15
- Откуда: г.Балашиха,М.О.Зинаида
- Благодарил (а): 20183 раза
- Поблагодарили: 9438 раз
Эпилепсия французский бульдог Марик
Kate83, Катя ,Я на форуме с эпи давно,но для эпи не помню чтоб кто то делал,а так знакомых знаю делали в Скрябинке у Козлова и Позябина вроде так фамилия,кстати при мне мопса забирали,но мы потом уехали после стерилизации,он у них постоянно ходил кругами и была срочная необходимость.Не знаю как у Вас.
принимаем :Бензонал по 1 таблетке 2раза в день,дозировкой 100мг,либромид по 1 т. два раза в день,леветирацетам по 500мг три раза в день, винпоцетин по 1т.-2р ,энап 5мг-1 таб.-2раза , по 1 таблетке на ночь пустырник.
Вес41-42 кг
Вес41-42 кг
-
Kate83
- Сообщения: 37
- Зарегистрирован: 17 июн 2023, 23:52
- Благодарил (а): 17 раз
- Поблагодарили: 28 раз
Эпилепсия французский бульдог Марик
SvetlanaAmira, Здравствуйте дорогие форумчане. Наши дела на сегодня такие, после эпистатуса 16 июня все было хорошо, препараты принимали, 11 августа случился короткий одиночный приступ, Марик был на улице во дворе нашего дома, упал, судороги, пена, я домой - с перепугу накапала целую ложку Карвалола не разводя и засунула ему, а потом еще и дала целую таблетку Паглюферала 1, он конечно от нее одурел, ходил как заведенный. Приступов больше не повторялось, вплоть до сегодняшнего дня 16 сентября. Началось ночью в 3 часа, муж разбудил когда у Марика уже случился 3 приступ, шли с интервалами 45-60 минут, я после третьего приступа дала половинку Пагли, ушла спать, муж в 7 утра прибегает, случилось еще 2 приступа, я колю 3мг МагнеВ6, даю еще половину Пагли, 1/2 Кавинтона и целую Габу, около 9 утра еще приступ, колю еще 2мг МагнеВ6. 12 часов после последнего приступа все нормально, есть, пьет, бегает по двору, лапы слегка не слушаются, но по лестнице подняться может. В 20:40 снова приступ, я колю опять 3мг МагнеВ6, Папаверин, Кавинтон, Сульфокамфокаин, 40мг Глюкозы. В рот пытаюсь залить Карвалол, не особо получается, все выплевывает. Оставила Марика с мужем, сама ушла спать с ребенком, очень надеюсь что этой ночью мы поспим. Буду держать в курсе.
- АНЖЕЛA
- Администратор конференции
- Сообщения: 16299
- Зарегистрирован: 20 ноя 2012, 04:00
- Откуда: Санкт-Петербург
- Благодарил (а): 26291 раз
- Поблагодарили: 23597 раз
- Контактная информация:
Эпилепсия французский бульдог Марик
Kate83, Екатерина, переношу тему в Наши Истории.
Марик такой красавец!!! Пусть лечение помогает!
Марик такой красавец!!! Пусть лечение помогает!
-
Kate83
- Сообщения: 37
- Зарегистрирован: 17 июн 2023, 23:52
- Благодарил (а): 17 раз
- Поблагодарили: 28 раз
Эпилепсия французский бульдог Марик
Пошли вторые сутки после приступов 16 сентября, не знаю в чем именно причина, возможно страдают мышцы, может позвоночник, а может и спинной мозг, у Марика два дня очень слабенькие ножки, писает сидя как девочка, на диван запрыгнуть не может, в целом какой-то весь грустный и несчастный, не реагирует даже когда кто-то домой приходит, а раньше лаял всегда на весь дом, сейчас просто спит и никакой реакции, зато ночи беспокойные, просыпается и ходит по дому, цокает когтями, не знаю что его беспокоит, боли возможно((, но не скулит. Терапия прежняя Габапентин 1/2 2 раза в день, Паглюферал1 1/4 2 раза в день, Кавинтон 1/4 2 раза, Карсил 1/2 2 раза. Вот не знаю, стоит ли увеличивать дозу Пагли?
- АНЖЕЛA
- Администратор конференции
- Сообщения: 16299
- Зарегистрирован: 20 ноя 2012, 04:00
- Откуда: Санкт-Петербург
- Благодарил (а): 26291 раз
- Поблагодарили: 23597 раз
- Контактная информация:
Эпилепсия французский бульдог Марик
Kate83, это типично после приступов. У них всё болит, и мышцы,и голова, и лапы слабеют. Такой отходят может длиться до недели.
Чтобы разобраться с дозой паглюферала, напишите, какой вес у Марика.
Чтобы разобраться с дозой паглюферала, напишите, какой вес у Марика.
-
Kate83
- Сообщения: 37
- Зарегистрирован: 17 июн 2023, 23:52
- Благодарил (а): 17 раз
- Поблагодарили: 28 раз
Эпилепсия французский бульдог Марик
АНЖЕЛA, Спасибо за ответ, да у него 100% болит спина, да и я ему столько уколов всадила, надо было наверно иглу не вынимать, а только шприцы менять. Сегодня четвертый день после приступов, уже получше, уже бегает по двору и лает на каждый шум за забором, но к вечеру опять скисает. У него вес 12,5 кг. Хохлов в назначении написал давать 1/4-1/2 Паглюферала1 2 раза в день, я так и даю по 1/4, не знаю ждать ли следующих приступов или уже сейчас дозу повышать? А если начну давать по 1/2 что дальше, куда потом еще повышать в случае чего?(
-
Kate83
- Сообщения: 37
- Зарегистрирован: 17 июн 2023, 23:52
- Благодарил (а): 17 раз
- Поблагодарили: 28 раз
Эпилепсия французский бульдог Марик
Ну вот, сегодня утром еще не успела дать лекарства как опять случился приступ( сначала как-то свело лапы, потом морду перекосило, не падал, надеялась что на ногах перенесет, но упал, сильные судороги, язык фиолетовый торчит изо рта, пена, всего трясет, приступ около минуты. После приступа еще не сразу может разжать челюсти, чуть позже влила ему Карвалол аж двойную дозу, дала ложку меда и стандартную порцию препаратов, перешла с 1/4 на 1/2 Паглюферала1. К счастью оклемался быстро, как будто ничего не произошло, пошел пить, есть, хоть я знаю что не рекомендовано после приступа, но отказать не могла). Весь день бегал по двору, лаял, был вполне весел
