да, я тоже несколько рецептов, но нас выкладывали иначе. Не знаю можно ли при такой выкладке видеть что-то
Русский той Тимошка
- Екатеринна
- Сообщения: 415
- Зарегистрирован: 22 янв 2017, 22:05
- Благодарил (а): 299 раз
- Поблагодарили: 1051 раз
Русский той Тимошка
Паглюферал 10 мг /3 р.д; кеппра 100мг/3р.д; вимпат 12,5 мг/3 р.д. Вес 2,7 кг
- АНЖЕЛA
- Администратор конференции
- Сообщения: 16299
- Зарегистрирован: 20 ноя 2012, 04:00
- Откуда: Санкт-Петербург
- Благодарил (а): 26291 раз
- Поблагодарили: 23597 раз
- Контактная информация:
- Екатерина7691
- Сообщения: 1489
- Зарегистрирован: 22 янв 2017, 09:59
- Откуда: Глазов
- Благодарил (а): 5653 раза
- Поблагодарили: 4714 раз
Русский той Тимошка
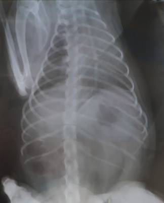
Плохие снимки?
Отправлено спустя 4 минуты 53 секунды:
Отправлено спустя 4 минуты 53 секунды:
Disha, пытается ходить, но падает. Не ел сегодня ничего, сейчас пыталась накормить, отказался. Дышит с булькающим звуком. Запах еще больше от него, не понимаю почему такой зловонный запах. Садимся в такси, и прямо тут же этим запахом все пропитывается...
Русский той Тим. Возраст 4 года. Вес 2,5кг . Паглюферал 1-1/4т 3р/д
- АНЖЕЛA
- Администратор конференции
- Сообщения: 16299
- Зарегистрирован: 20 ноя 2012, 04:00
- Откуда: Санкт-Петербург
- Благодарил (а): 26291 раз
- Поблагодарили: 23597 раз
- Контактная информация:
Русский той Тимошка
Катя, ну, не совсем плохие, но качество низковато.
Отправлено спустя 1 минуту 28 секунд:
Но это ведь еще и фото! Может, спец на негатоскопе хорошем и увидит всё!
- Лена78
- Сообщения: 2720
- Зарегистрирован: 28 апр 2016, 21:30
- Откуда: Украина,Львов
- Благодарил (а): 7456 раз
- Поблагодарили: 8126 раз
Русский той Тимошка
я вот про этот запах
, а не может быть кровотечение какое всередине, я так, в порядке бреда ,
?
- Баггиалекс
- Сообщения: 7404
- Зарегистрирован: 11 фев 2013, 10:18
- Откуда: Катерина Москва ЮЗАО
- Благодарил (а): 11380 раз
- Поблагодарили: 21043 раза
Русский той Тимошка
Мне кажется ты правильное предположение сделала...подобный запах может быть от скопления гноя где либо...Булькающие звуки...сопли...ды может у него воспаление легких (а бывает у собак воспаление легких?).
Мы тебя ждали и ты вернулся
Бог не дает нам больше испытаний, чем мы в состоянии выдержать.
Бог не дает нам больше испытаний, чем мы в состоянии выдержать.
- Екатерина7691
- Сообщения: 1489
- Зарегистрирован: 22 янв 2017, 09:59
- Откуда: Глазов
- Благодарил (а): 5653 раза
- Поблагодарили: 4714 раз
Русский той Тимошка
Вот еще один, но он кривой сказали
Отправлено спустя 42 секунды:
Может это я так фотографирую еще, они все отсвечивают...
Отправлено спустя 42 секунды:
Может это я так фотографирую еще, они все отсвечивают...
Последний раз редактировалось Екатерина7691 11 апр 2018, 16:43, всего редактировалось 1 раз.
Русский той Тим. Возраст 4 года. Вес 2,5кг . Паглюферал 1-1/4т 3р/д
- Екатерина7691
- Сообщения: 1489
- Зарегистрирован: 22 янв 2017, 09:59
- Откуда: Глазов
- Благодарил (а): 5653 раза
- Поблагодарили: 4714 раз
Русский той Тимошка
Анжела, а у нас его и нет
Русский той Тим. Возраст 4 года. Вес 2,5кг . Паглюферал 1-1/4т 3р/д
-
nata197921
- Сообщения: 1603
- Зарегистрирован: 28 ноя 2016, 22:03
- Откуда: Москва, Наташа
- Благодарил (а): 11271 раз
- Поблагодарили: 4577 раз
Русский той Тимошка
Только сейчас зашла.. Тимошка держись, пожалуйста..
Помним...
Васек (08.2000-07.04.2018)
Евунчик (18.09.2004-19.04.2018)
Васек (08.2000-07.04.2018)
Евунчик (18.09.2004-19.04.2018)
- АНЖЕЛA
- Администратор конференции
- Сообщения: 16299
- Зарегистрирован: 20 ноя 2012, 04:00
- Откуда: Санкт-Петербург
- Благодарил (а): 26291 раз
- Поблагодарили: 23597 раз
- Контактная информация:
- Лариса
- Сообщения: 7197
- Зарегистрирован: 20 июл 2015, 11:45
- Откуда: г москва
- Благодарил (а): 6524 раза
- Поблагодарили: 20121 раз
Русский той Тимошка
Тимоха держись...прям молю тебя....денежку кинула....
паглюферал-3,вес 50 кг по 1.5 т-2р в день,винпоцитин-50 мг. по 1 т -2раза в день.Аминалон по 1 т только утром.Один не разберет,чем пахнут розы,Другой из горьких трав добудет мед,Кому-то мелочь дашь навек запомнит ...Кому-то жизнь отдашь он не поймет.Омар Хайям.
-
olpetr
- Сообщения: 4057
- Зарегистрирован: 07 мар 2014, 15:43
- Благодарил (а): 17573 раза
- Поблагодарили: 11748 раз
Русский той Тимошка
Катюша,очень переживаю за Тимоню. Тимошка,держись и поправляйся. Денежку перевела.
- Баггиалекс
- Сообщения: 7404
- Зарегистрирован: 11 фев 2013, 10:18
- Откуда: Катерина Москва ЮЗАО
- Благодарил (а): 11380 раз
- Поблагодарили: 21043 раза
Русский той Тимошка
Ааааа. таки бывает..ну тогда девули то оно..я еще позавчера говорила - уколите собаке антибиотик. Поясню мое рвение к антибиотикам (кстати, Хохлов в свое время со мной согласился)..Владимиров мне однажды объяснял в свойственной ему манере - эда в пространство (он флегматик)))..так вот...дело в том что любые отклонения в здоровье у животных - речь идет как о собах так и о китях...чаще всего (как он сказал можно не сомневаться в 90% случаев) ведет к бактериальному заражению...вот что бы там не было...поскольку на животных антибиотики действуют несколько иначе чем на людей то не стоит боятся этих препаратов...поскольку зачастую они просто предотвращают катастрофу...в подтверждение этому я могу сказать что вчерашний онколог-буратинка который нас осматривал сказал мне - каждый день измерять температуру утро-вечер (я уж не буду говорить что это такое для котов с этим Ганс вообще не согласен) так вот...когда я спросила зачем...он сказал что при той картине которую он наблюдает вполне возможны и более вероятны бактериальные осложнения...и тогда придется подключать антибиотик...на что я сказала - а чо сразу то не подключить...он посмотрел на меня с уважением сказав - ну слава Богу вы понимаете о чем я...тут я сказала что мы вот-вот проиили синулокс и он торжественно улыбнувшись первый раз за прием произнес - тогда Байтрил...Из чего я делаю выводы..когда животинкам пытаются назначать антибиотики владельцы сопротивляются до последнего...ну веты знают это и собственно не настаивают в превентивных мерах...если же владелец в теме..то антибиотики практически всегда назначают и нефиг этого бояться..лучше потом поправлять флору кишечника чем потерять животинку (это к слову сказать в тему о том что мы все время не того боимся и риски не взвешиваем) Вот. У меня все. Ругайте.
Мы тебя ждали и ты вернулся
Бог не дает нам больше испытаний, чем мы в состоянии выдержать.
Бог не дает нам больше испытаний, чем мы в состоянии выдержать.
- Екатеринна
- Сообщения: 415
- Зарегистрирован: 22 янв 2017, 22:05
- Благодарил (а): 299 раз
- Поблагодарили: 1051 раз
Русский той Тимошка
Баггиалекс, а чего пугать - все правильно. У нас лейкоциты в норме были даже на нижней границе, но я настояла на антибиотика. А что про его, когда уже показатели зашкаливают?. Да и у собак при приеме антибиотиков последнего поколения ( даже длительном) пробиотики не назначают. Крайне редко там побочка на флору
Паглюферал 10 мг /3 р.д; кеппра 100мг/3р.д; вимпат 12,5 мг/3 р.д. Вес 2,7 кг
- АНЖЕЛA
- Администратор конференции
- Сообщения: 16299
- Зарегистрирован: 20 ноя 2012, 04:00
- Откуда: Санкт-Петербург
- Благодарил (а): 26291 раз
- Поблагодарили: 23597 раз
- Контактная информация:
Русский той Тимошка
Катюша, но вчера было подозрение на аллергический отёк, сыпь была. Опасно было пихать АБТ.
Сегодня с утра начали Байтрил.
Я с тобой согласна, но здесь это не решающее.
Сегодня с утра начали Байтрил.
Я с тобой согласна, но здесь это не решающее.
- hopewell
- Сообщения: 294
- Зарегистрирован: 30 авг 2017, 14:04
- Откуда: Аня, Москва, метро Полежаевская
- Благодарил (а): 283 раза
- Поблагодарили: 767 раз
Русский той Тимошка
как Тимоша? поел?
Той-терьер Чарли, 15 лет. Вес 1.8 кг. Кеппра 3 раза в день - по 1/4 таб 250 мг. Габапентин - 2 р/д по 1/10 капс 300 мг.
- Екатерина7691
- Сообщения: 1489
- Зарегистрирован: 22 янв 2017, 09:59
- Откуда: Глазов
- Благодарил (а): 5653 раза
- Поблагодарили: 4714 раз
Русский той Тимошка
Лариса, olpetr, девочки, спасибо большое 
Отправлено спустя 14 минут 3 секунды:
По снимку слева не исключают наличие жидкости, но вечером и справа уже слышали приличные хрипы.
На основании биохимии и анализов мочи ставят диагноз-Почечная недостаточность
Тим пока находится в прострации. Или спит, или бесцельно бродит и падает тут же(лапы его не слушаются)
Пока дважды в день будем ездить на капельницы, уколы и прослушивать легкие..
С каждым разом вопросов становится больше, как и сомнений... Больно на него смотреть, скорее бы дело пошло на поправку..
Очередной раз выражаю огромную благодарность всем за финансовую помощь, советы, поддержку и неравнодушие:ki_ss:
Отправлено спустя 14 минут 3 секунды:
нет, не ест. Пьет только. Вечером снова были на капельнице. Снова наставили уколов. После капельницы дыхание снова осложнилось, сопли из носа пузырями пошли((
По снимку слева не исключают наличие жидкости, но вечером и справа уже слышали приличные хрипы.
На основании биохимии и анализов мочи ставят диагноз-Почечная недостаточность
Тим пока находится в прострации. Или спит, или бесцельно бродит и падает тут же(лапы его не слушаются)
Пока дважды в день будем ездить на капельницы, уколы и прослушивать легкие..
С каждым разом вопросов становится больше, как и сомнений... Больно на него смотреть, скорее бы дело пошло на поправку..
Очередной раз выражаю огромную благодарность всем за финансовую помощь, советы, поддержку и неравнодушие:ki_ss:
Русский той Тим. Возраст 4 года. Вес 2,5кг . Паглюферал 1-1/4т 3р/д
- Marinav
- Сообщения: 354
- Зарегистрирован: 10 авг 2015, 16:13
- Откуда: Москва
- Благодарил (а): 3197 раз
- Поблагодарили: 927 раз
Русский той Тимошка
Милый малыш, старайся, не сдавайся! Катя,ты молодец! Мы с тобой. Пожалуйста, держитесь, ребята!!!
Вес 3,5 кг. Паглюферал-1 по 1/4, кавинтон 1/8, энап 2,5 по 1/4 дважды в день.
- Екатеринна
- Сообщения: 415
- Зарегистрирован: 22 янв 2017, 22:05
- Благодарил (а): 299 раз
- Поблагодарили: 1051 раз
Русский той Тимошка
Как почечная? Откуда? Молодая собак. Я так понимаю раньше по почкам показатели были в норме? УЗИ не делали?
Паглюферал 10 мг /3 р.д; кеппра 100мг/3р.д; вимпат 12,5 мг/3 р.д. Вес 2,7 кг
-
astelo
- Сообщения: 7041
- Зарегистрирован: 05 окт 2013, 23:55
- Откуда: г. Таганрог Лариса
- Благодарил (а): 14605 раз
- Поблагодарили: 16994 раза
Русский той Тимошка
Сколько креатинин?
Анжела, что ты думаешь по этому поводу?
Вот, Господи....может что-то неправильно они делают? Или много жидкости вливают или очень быстро или может вообще нельзя капать?Екатерина7691 писал(а): ↑11 апр 2018, 21:02 После капельницы дыхание снова осложнилось, сопли из носа пузырями пошли((
Анжела, что ты думаешь по этому поводу?
- Баггиалекс
- Сообщения: 7404
- Зарегистрирован: 11 фев 2013, 10:18
- Откуда: Катерина Москва ЮЗАО
- Благодарил (а): 11380 раз
- Поблагодарили: 21043 раза
Русский той Тимошка
Ни от куда и ее нет там даже по анализам я не знаю что там за врачи и с чего они решили что это почки - ВООБЩЕ НЕТ ДАЖЕ НАМЕКА! там что то с легкими...может пневмония может не знаю еще что то...я в шоке если често я тут ору уже перед компом...
Кать выложи сюда анализ я тебя уверяю все кто разбираются получат парализацию..ну нет там даже намека на почечную недостаточность НЕТ
Отправлено спустя 1 минуту 41 секунду:
Норма креатинина от 26 до 130 у Тимошки 48 и они говорят о почечной недостаточности, а мочевину вообще не указали...какая нафинг почечная недостаточность...я ща комп разобьююююю
Отправлено спустя 1 минуту 2 секунды:
они видите ли в моче белок нашли...а при этом ему гормон кололи сами же...и по этим показателям говорят о почечной недостаточности капают парня и прописывают Здоровые почки на месяц...я ща убьюсь тут честное слово..меня аж трясет
Мы тебя ждали и ты вернулся
Бог не дает нам больше испытаний, чем мы в состоянии выдержать.
Бог не дает нам больше испытаний, чем мы в состоянии выдержать.
-
astelo
- Сообщения: 7041
- Зарегистрирован: 05 окт 2013, 23:55
- Откуда: г. Таганрог Лариса
- Благодарил (а): 14605 раз
- Поблагодарили: 16994 раза
- АНЖЕЛA
- Администратор конференции
- Сообщения: 16299
- Зарегистрирован: 20 ноя 2012, 04:00
- Откуда: Санкт-Петербург
- Благодарил (а): 26291 раз
- Поблагодарили: 23597 раз
- Контактная информация:
Русский той Тимошка
При нормальном креатинине, отсутствии мочевины и соотношения креатинин/ мочевина, речи нет о ХПН.
У меня мысль о диабете.
Отправлено спустя 49 секунд:
Да и в моче белка ерунда.
У меня мысль о диабете.
Отправлено спустя 49 секунд:
Да и в моче белка ерунда.
